- Home
- Content Library
Content Library
"Precise-ly" What Dental Practices Need
Doctors have come to trust Imaging Sciences because of their reputation for knowing precisely what dentists need to improve clinical control and workflow. In contemporary dental practices, both general dentists and specialists are increasingly adding implants and other surgical procedures. 3D imaging is a tool that boosts the efficiency and success of the process. The new i-CAT® Precise™ was specifically designed for implant and oral surgery procedures with the award-winning i-CAT® technology. POWERFUL TREATMENT TOOLS This new dynamic system is equipped with tools for treatment planning and implementation, as well as patient education. With the exclusive Tx Studio™ treatment planning solution, dentists can feel confident in accurately planning the entire implant

Social Media and Dentistry
By Jason Lipscomb Social media has taken off in dentistry! Dentists all over the country are starting to learn the benefits of social media and the new marketing opportunity it presents. This is not a phenomena restricted only to dentists. Fortune 500 companies and small businesses alike are finding the benefits of social media. So is it all hype or is it a real opportunity? Just like any other marketing effort, some will have great success while others will flounder. Let’s talk about some successful dental cases and what they are doing right. > Web video can also be shared across many formats. Video is great to share
Technology Convergence: The Maturing Market
The world has changed a lot in the last ten years. It’s easy to remember the days when you would get your music and movies from the local store down the street, take your film in to be developed at the drug store, and had to pull into a visitor center to buy a local map to get around. Today all of these things might seem like a waste of time with the new phones, tablets, and Internet everywhere and the type of access we now have. Information is everywhere and there are a variety of devices to access it, capture it, and share it in a

Revolutionary In-Office CAD/CAM Technology is the Perfect Addition to a State-of-the-Art Practice
By Mary Verardi, DDS Bringing an out-of-date practice into the 21st century can be challenging, costly, and take years. Therefore, when the opportunity presents itself to establish a new practice from the ground up, it simultaneously offers unique possibilities for incorporating state-of-the-art technologies as opposed to buying an existing practice and renovating it. As a dentist, my objective always has been to remain on the cutting edge, but I was determined to do it right. So, when building my new practice in Orlando, Florida, I invested in state-of-the-art technologies, including Mediadent imaging software, voice activated software, and digital radiographs rather than traditional X-rays. As a result, from the start we’ve

No Strings Attached
By Michael Koceja, DDS “No Strings Attached,” what an interesting phrase. We hear it all the time; a pitch on a TV commercial or a special deal at a sales event—and usually it gets us in trouble. We are promised something and usually don’t get what we were promised and end up with “strings attached.” In dentistry, no strings attached has numerous implications, because dentistry like other professions continues to go wireless. More and more of the technologies we have implemented into our everyday delivery of dental care have become smaller and wireless—“No Strings Attached.” Wireless remote controls, wireless intraoral cameras, and even wireless digital X-ray sensors have all
When Should You Value Your Practice?
We have seen an increasing number of deferred transitions over the last several years. Whether you are recruiting an associate to become a partner or want to find a candidate to purchase your practice in one to two years, the question always asked by the Associate or Owner is “When does the practice get valued?” For many associates who intend to make a financial commitment, they need to know what their potential investment might be. Therefore, determining a value at the outset or within the first year of employment is not unreasonable. We’ve often heard complaints from associates who have worked at a practice for several years who

The Impact of New Dental Technology
Way back in the last century computerswere big and heavy. They needed to be plugged into a wall for power and data. The monitor was a huge piece of glass and plastic that required either a staunch desk or a strong man to support it. Computers were put in one place and they just stayed there. If you needed to use the computer, you went to it—the computer did not come to you. Amazing new dental technology has fundamentally changed all that. It is no longer necessary to assign a computer to a place—the computer can be assigned to a person and it simply goes wherever the

Art & Dentistry Bethesda, Maryland
ART & DENTISTRY - BETHESDA, MD Dr. Ellen Brodsky If you’re puzzled at the name of Dr. Ellen Brodsky’s new practice, Art & Dentistry, you only have to take it literally. This stunning office, which is located in Bethesda, Maryland, has captured a vision that is unique and inviting with a lineup of advanced technologies that deliver personalized, comfortable treatment options to its patients in an interior created to give maximum productivity—with the look and feel of an art gallery. As a passionate lover of art, Dr. Brodsky has found an exciting way to be surrounded by inspired artists and their works through showcasing different collections in the office every

Crestway Park Dental Athens, Texas
CRESTWAY PARK DENTAL - ATHENS, TX Dr. Brandon Allen > I knew I wanted to build for the future. If I was going to take the step of > building a new office, I wanted to get it right from the start. An Eye to the Future–“Toward the end of our time in the old office, we had turned the existing small private office into a pano room…and used another small space as our lab, staff lounge, and my office,” notes Dr. Allen. “We needed much more room. Being a relatively young doctor, I knew I wanted to build for the future. If I was going to take

Launch Labwork Into the Cloud With Henry Schein DDX
THE CLOUD Since the advent of the Internet, the term “cloud computing” has been used to refer to a variety of capabilities: online data storage; instantaneous file sharing across multiple users and wide geographies; and universal access to information that keeps businesses running. It’s important to note that many cloud services have been around for a while, including now-ubiquitous products like Citrix®, Google Docs™, and iTunes™. Even basic services we all use every day, such as cell phones and ATMs, make use of cloud technology. Newer companies like Dropbox® are distilling the almighty power of the Internet down to amazingly simple, low-cost offerings that speed up the basic ways we

Bringing Wellness into the Dental Office
Just as a healthy, thriving dental practice begins with a healthy hygiene department, a healthy body begins with a healthy mouth. Improving patients’ understanding of the oral-systemic connection is the first step in boosting the profitability of your hygiene department. Imagine if every dental patient knew that periodontal disease doubles the chance of dying from a heart attack and every woman knew that periodontal disease can affect fertility and contribute to low-birth-weight babies. Oral systemic information has the power to motivate compliance with oral care routines and treatment recommendations, when communicated properly. Henry Schein introduced their new wellness program, Total Health, to assist dental practices in communicating wellness information to

Drs. Tina Nichols and Samaria Mascagni Arkansas Family Dental
ARKANSAS FAMILY DENTAL Dr. Tina Nichols A location was chosen about one-half mile away from the existing office. It would better provide the opportunity for continuous growth and enhanced services to more fully meet the Doctors’ vision of the ideal dental practice. The process began by contacting Henry Schein Dental. A rough draft of the new floor plan was created and then a tour of the Pelton & Crane factory and showroom was set up to view the many upgrades that were available in operatory equipment. The design impact of the new building harmonized perfectly with its natural setting. The interior design specifically creates a separation of patient care, staff, and

Hoekwater Family Dentistry 2011 Working Toward Continued Success
HOEKWATER FAMILY DENTISTRY Dr. James C. Hoekwater Dr. James P. Hoekwater Dr. Andrew Hoekwater It’s a “family affair” at Hoekwater Family Dentistry! Dr. James C. Hoekwater and sons, James and Andrew are all attending to the business at hand at their well-designed new dental facility in Wyoming, Michigan. Equipment chosen reflected the projected demands of the office. Function, ergonomics, and integration were first and foremost with the Doctors. Reliability and low maintenance were also important factors. Also prominent in the considerations for the office was its ability to stand up to the regulatory requests of the U.S. Green Building Council’s Leadership in Energy and Design (LEED). LEED is the nationally-recognized

Gendex—Past Legacy and Future Innovation
At Gendex, continuous and consistent research and development has resulted in a legacy of digital and radiographic equipment that provides the dental community with opportunities to focus on patient care. Over the years, the names have become synonymous with quality and reliability with products such as the GX-770™ intraoral X-ray, Orthoralix® panoramics, and the AcuCam® line of intraoral cameras. Gendex global product managers share some keen insights into what they’ve learned dentists want and need for their contemporary dental offices. Filippo Impieri: “The Gendex tradition in imaging began with intraoral X-ray. The company’s technology solutions adhere to high standards of reliability and quality, but also are simple and very

Traveling With an Old Friend
That was 14 years ago and, after all these years, DEXIS digital X-ray still gives me all that I ever wanted in a digital system—clear, crisp images; comfort from the sensor design; and durability. Now DEXIS has given me so much more—a chance to improve the quality of care we deliver to patients in the most remote areas of the world, and at the same time enhance the dental education of dentists in those same developing countries. Taking DEXIS digital radiographs is simple. When the sensor detects radiation, the image is automatically saved, dated, tooth numbered, and correctly oriented with one mouse click. My staff members are glad

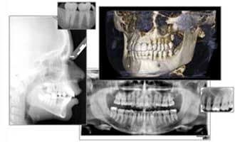
A Case Study of Acute Changes in Dental Occlusion: Digital CBCT Analysis
By DeWitt C. Wilkerson D.M.D. Fortunately, new advances in diagnostic imaging, such as Digital Cone Beam 3-D Technology, make it virtually impossible for pathology to escape diagnosis. To illustrate, let’s explore a challenging case to diagnose, beautifully exposed by digital CBCT technology. A 62-year-old Caucasian female presented with a chief complaint of progressive bite changes. Previously, all her teeth touched uniformly, but over the past 18 months this had gradually changed. The result was an open bite that extended from teeth #2–13, and a facial asymmetry with the mandibular plane of occlusion visibly canted significantly downward on the right side. She reported no pain; the left TM Joint felt normal

Smile Design Esthetics
By By Dr. Robert Stanton, DMD “Space … the final frontier,” those were the words written by Gene Roddenberry and spoken by Captain James T. Kirk in 1966 that sparked imaginations everywhere as to what might be discovered during the travels of the USS Enterprise. Some 45 years later, space may be the final frontier for the human race but as far as restorative dentists are concerned, the final frontier might be 100% utilization of in office CAD/CAM technology for indirect restoration fabrication, especially anteriors. My first exposure to CAD/CAM technology in 2001 with another system left me less than impressed with the practicality and flexibility of the technology.

Clay Center Family Dental Care – Henry Schein Computer Networking Solutions Case Study
To ensure success, the practice chooses vendors that share those same core values. That’s why, for nearly 10 years, Clay Center Family Dental Care has called on the experts at Henry Schein to deploy, integrate, maintain, and service the computer network and practice-management technologies that drive the efficiencies of its digitally-based practice. “When I began practicing dentistry in 1977, a computer took up an entire room. I never envisioned that my practice would some day operate in a completely digital environment. We couldn’t have done it without Henry Schein,” says Dr. Rick Hammel of Clay Center Family Dental Care. Over the years, Clay Center Family Dental Care has grown from

Providing Better Hiring for Dental Practices
By Kenneth Trueman, Director of Marketing for Iscopia Software Although the success of any organization ultimately depends on its people, the hiring of people is not usually the core competency of an organization. Hiring is, in fact, a source of pain for almost all organizations, but the cost is not borne proportionally. Larger organizations have dedicated HR departments whereas small and medium-sized businesses (SMBs), particularly dental practices, often must rely on the dentist or the office manager. In such cases, hiring is one responsibility among many that the dental team must assume, competing for resources and attention with patient care, scheduling, billing, and inventory management. Dental practices are extremely people-focused,

Tips from the Top
TIPS FROM THE TOP - E4D CAD/CAM TECHNOLOGY I worked with a Mississippi dental practice that wanted to convert their office to digital. As they weighed the decision, I pointed out their monthly lab fees made them an excellent candidate for an E4D Dentist. They accepted an invitation to tour the Dallas E4D facility to see the chairside technology in action. They were impressed with the quality of the restorations and during that visit, they also became convinced the E4D Dentist would not just pay for itself, but would also fund all of the digital technology they hoped to purchase! Within one month, they purchased the E4D Dentist, Dentrix,

iPad? Xoom? Making Heads or Tails of Tablet Computing
With more than 14 million units sold in 2010 alone, the iPad has gone on to be a resounding success for Apple. And, for Apple’s competitors, it has opened up a new market that until now didn’t even exist. As 2011 has unfolded, Motorola came to the market with the Motorola Xoom, the first Android-powered device to implement Honeycomb, a new version of Android specifically designed for tablet devices. Not long after Motorola brought the Xoom to the marketplace, Apple unveiled the iPad 2, an updated version of their original iPad. So with more choices available in the market, how does one go about deciding on a

Distinctive Advantage
By David Eshom, DDS Practicing dentistry in today’s economic climate is as challenging as it has ever been in the 25 years I have practiced. The stress of presenting needed and elective treatment to fewer patients can sometimes seem overwhelming. To survive and thrive in these challenging economic times a dentist must do like businesses outside dentistry and diversify. Diversify means to provide more products that answer our patients’ needs under one roof so they can say yes to health and beauty in your office. > Laser dentistry is a great way to please and impress your patients when it > comes to treatment acceptance, operative dentistry, hygiene, and

Exploring the Use of QR Codes in Dental Practice Marketing
There has been a significant increase in the use of advertising campaigns and other communications that use QR Codes. Several trends have fueled this. There are more smartphones in people’s hands. The use of QR Codes is free of any license, decreasing the cost of creating QR Code-based campaigns, and most importantly, QR Codes are a part of a larger trend toward merging real-life and digital experiences. The real and the digital are coming together, and QR Codes is one way to facilitate this. A recent Mobio Identity Systems study1 quantified just how rapidly QR Code use has increased in the past year alone. It’s findings show an

Improving Periodontal Treatment Acceptance
Today, most dental treatment providers clearly understand the importance of periodontal disease and its ramifications on patients’ health. So why are fewer than 5% of patients receiving the treatment this disease requires? There are several factors required to create a successful Periodontal Program. First, there must be an office protocol for perio diagnosis that reflects the vision of the practice. Second is the commitment to change from the dental team. The entire team must agree on the protocol and work together to execute it, including providing patient education and motivation. Third, scheduling must allow enough time for the hygienist to provide treatment and operatory capacity to support that treatment.