- Home
- Content Library
- Smile Design Esthetics
Smile Design Esthetics
By By Dr. Robert Stanton, DMD

“Space … the final frontier,” those were the words written by Gene Roddenberry and spoken by Captain James T. Kirk in 1966 that sparked imaginations everywhere as to what might be discovered during the travels of the USS Enterprise. Some 45 years later, space may be the final frontier for the human race but as far as restorative dentists are concerned, the final frontier might be 100% utilization of in office CAD/CAM technology for indirect restoration fabrication, especially anteriors. My first exposure to CAD/CAM technology in 2001 with another system left me less than impressed with the practicality and flexibility of the technology. Most users at that time were using it mainly for posterior PCRs (Partial Coverage Restorations) because the deficiencies in strength and esthetics of CAD materials paired with a lack of utility in the design software and intraoral scanner at that time contraindicated its use with large anterior cases.
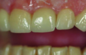
Over the next few years, advances were made in the scanner, design software, and materials quality and selection. Up to this point, all CAD blocks were monochromatic and somewhat opaque, which created obvious challenges when trying to create restorations with variable translucency, shading, and characterization. Manufacturers created polychromatic blocks with variable opacity layered within the block and the design software allowed for selection of the desired area within the block in order to create a milled restoration that had inherent transitions from cervical to incisal translucency, thereby negating the need for cutback and layering in typical cases. At that time, I decided that the technology was capable of meeting my standards of quality, efficiency, and practicality and I decided to incorporate it into my practice. I fabricated my first anterior crown during my second week of usage and although it took over three hours, I was immediately inspired to push the envelope of what was possible.
I’ve improved the image of my practice, myself as a clinician, and made my patients and staff more satisfied—all due to the excellent results that the E4D delivers.

I started performing larger and larger anterior cases until I felt comfortable performing full/dual arch cases. Although I was satisfied with the results I was achieving, I was always frustrated with the design process. Every lab technician who performs a multiunit anterior case goes through a certain sequence of design steps. These steps revolve around the principles of golden proportion and smile design. Symmetry, proportion, length/width ratio, contact placement, and embrasures are just some of the factors that go into proper smile design and attention needs to paid to all of these during the design process. My frustrations arose from the fact that the other design software did not allow for confirmation of any of the aforementioned factors and so I decided at that time to investigate the E4D system since its design software did allow for confirmation of all of these factors.
I discovered that the E4D system provided three distinct advantages over any available and, as a result, I decided to incorporate the E4D in my practice: 1. I find the E4D Clone mode to generate a closer reproduction than the other system’s Correlation mode and this is my preferred design method for anteriors. 2. E4D’s software starts with a more accurate design and then offers a very wide range of tools to create whatever global and delicate changes are required to finalize the design in much less time. 3. The E4D software allows for the simultaneous design and finalization of as many units as the operator needs. From a smile design standpoint, any clinician would think that this would be a requirement and vital component of any software involved in the design of a multiunit anterior case. The ability to modify, finalize, and verify all aforementioned smile design factors simultaneously for all units involved not only greatly reduces the need for any post-milling correction, whether additive or reductive, but also guarantees that esthetics and function that were verified in the wax-up/provisional are properly and accurately transferred to the final restorations.

As a cosmetic dentist who is not only passionate about my profession but also deeply compassionate toward my patients, my goal is to put them at ease, keep them comfortable, and do things right the first time. That’s why the E4D is the perfect in-office CAD/CAM system for me. Because my goals are to perform better dentistry and make my patients’ lives less stressful, I have embraced the E4D technology and implemented it to its fullest potential. My patients love it, and I love it because my patients are happy.
For me, it is an honor to make a difference in people’s lives. Making my staff and my patients happy and providing state-of-the-art treatments is among my most prized accomplishments. I’ve improved the image of my practice, myself as a clinician, and made my patients and staff more satisfied—all due to the excellent results that the E4D delivers.

The E4D allows me to do all my own anteriors and veneers with fabulously precise results, all in a single visit. It has allowed me to make a valuable difference in my patients’ lives. My staff and I are impressed with the conveniences and capabilities of the E4D, its intuitive software, small in-office production unit, and the ongoing support we receive. The E4D does what it is designed to do and with sensational results.
ROBERT STANTON, DMD Robert Stanton, DMD is a practicing dentist in Ft. Lauderdale, FL. Dr. Stanton is a graduate of the University of Miami and Tufts Dental School in Boston, where he earned an MA with honors. Named one of the Top 100 Best Young Dentists in the Country in 2001, Dr. Stanton is also a faculty member in the Department of Prosthodontics at Nova Southeastern Dental School and a member of the American Academy of Cosmetic Dentistry.