- Home
- Content Library
- A Case Study of Acute Changes in Dental Occlusion: Digital CBCT Analysis
A Case Study of Acute Changes in Dental Occlusion: Digital CBCT Analysis
By DeWitt C. Wilkerson D.M.D.
Fortunately, new advances in diagnostic imaging, such as Digital Cone Beam 3-D Technology, make it virtually impossible for pathology to escape diagnosis. To illustrate, let’s explore a challenging case to diagnose, beautifully exposed by digital CBCT technology.

A 62-year-old Caucasian female presented with a chief complaint of progressive bite changes. Previously, all her teeth touched uniformly, but over the past 18 months this had gradually changed. The result was an open bite that extended from teeth #2–13, and a facial asymmetry with the mandibular plane of occlusion visibly canted significantly downward on the right side. She reported no pain; the left TM Joint felt normal but the right TM Joint felt restricted, as if something was in the way of normal movement. Her previous dentist had told her that she would need restorative dentistry to correct the new malocclusion; but was concerned as to why these changes had occurred. We also discussed the possibility that changes were still progressing.
Clinical evaluation revealed an absence of masticatory muscle tenderness. Mandibular range of movement was limited to a maximum opening of 29 mm (normal 40–50 mm) with a marked deviation toward the right side. Right excursion was 7 mm, left excursion was 2 mm, and protrusive movement was 4 mm with a noticeable deviation toward the right (normal for each 7–13 mm). Palpation of the left and right TM Joint capsules and ligaments were negative for reported tenderness. Orthopedic load testing of the TM Joints via Dawson’s bimanual manipulation was negative bilaterally.

Doppler auscultation was negative for clicking or boney crepitus bilaterally. Joint Vibration Analysis-JVA (Bioresearch Associates technology) revealed no indications of joint clicking or condylar breakdown bilaterally. Occlusal evaluation, using articulating ribbon and TScan computerized bite analysis revealed the only teeth that touched with seated TM Joints were the left side first and second molars. The occlusion was increasingly open from left to right with the right molars open by 4–5 mm. Swallowing did not reveal a notable tongue thrust between the teeth that were out of contact. Movement of the mandible in lateral and protrusive excursions with the teeth in contact revealed exclusive contact on the left molars.
The first impression upon observing our patient’s facial asymmetry and open bite was the probability of an internal derangement in the left TM Joint; but the reported history did not fit that diagnosis. When observing the range of mandibular movement, it became evident that the right TM Joint was not translating normally. Joint assessment did not imply any obvious discal displacement or internal derangement in the left TM Joint. The concern shifted toward the right TM Joint region. To develop the bite changes observed would require an enlargement of tissues in the right TM Joint. Specifically, the concern became focused on the probability of some type of expanding pathosis. Due to the absence of pain and the inability to properly translate on opening, we became suspicious of extra capsular hard-tissue expansion.

The history, chief complaint, and clinical evaluation leave unanswered questions, which must be clarified. Now what? Should we correct the occlusion? Should we empirically try an occlusal splint first and see what happens? Where do we start? Answer: Always diagnose first, then treat. We needed a complete diagnosis. We needed to know exactly what was going on in the right joint. A cone beam CT scan provided an accurate 3-D image of the total joint region.
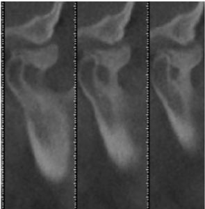
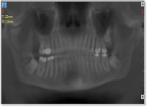
The CT scan of the right TM Joint produced a startling revelation. A large boney projection extended from the anterior condylar neck of the mandible superiorly, like a tree trunk, and mushroomed up to the opposing articular eminence. A 3-D projection showed the growth wrapped from posterior, to beneath, and even anterior to the articular eminence. This explained the inability to translate upon opening. A panoramic view also clearly showed the hard tissue pathological projection, which extended vertically beyond the height of the mandibular condyle, thus producing a resulting right side open bite. The diagnosis was quickly clarified through CBCT technology.

The patient was referred to a Maxillofacial Surgeon. Surgical removal of the mass was performed and the pathology report came back “Benign Homoplastic Osteoma” (benign bone tumor growing on bone). The cause of osteomata is uncertain, but is commonly associated with embryologic, traumatic, or infectious sources.
Following surgical intervention the dental occlusion returned to its original Class I relationship, with all the teeth touching. We did not perform any dental procedures. The appropriate plan for treatment was developed primarily from the invaluable information obtained from the digital CBCT Scan.
DeWitt C. Wilkerson D.M.D. has a private practice in St. Petersburg, Florida, which focuses on Restorative Dentistry and Occlusal Treatment for TM Joint Disorders. He is the Immediate Past President of the American Equilibration Society; Adjunct Professor in the Graduate Program, University of Florida College of Dentistry; and Senior Lecturer at the Dawson Academy for Advanced Dental Study. He lectures extensively internationally and may be contacted at dwilkerson@dupontwilkerson.com.