- Home
- Content Library
- The Full Exam
The Full Exam
The Dawson Approach to Gathering Proper Records

Thus, it is extremely important that a system is created to handle patients efficiently, while creating an experience that will be impressive to the patient. Although most everyone sees the value in doing a complete exam on each new patient, somehow when they get back to their office, logistically it just does not seem possible. Many offices are used to bringing in patients through hygiene, and with their own book completely full, there does not seem to be anywhere to put these patients. Others are bringing in new patients with the Doctor, but don’t have enough time to gather quality records to do a proper evaluation. This article will discuss the records necessary to do a full examination and a way to work with the team to get first-class, quality records.
The Records Visit
Dr. Dawson says to “never begin a case until you can visualize it optimally.” It has also been said that nearly 90% of cases that fail do so because of the decisions that are made during the treatment-planning phase. With the complexity of today’s treatment plans, proper case planning is absolutely essential for a successful outcome.
It is critical, therefore, that the records-gathering process uncover any factor that could breakdown the dentition, as well as help us visualize any changes we may need to make to the patients dentition; to either help them attain a specific aesthetic change or solve an underlying functional problem. Mounted diagnostic models are critical to this examination process, because it allows us to see specific things in the third dimension. Sitting down with a quality articulator, a full series of diagnostic photographs, a full series of X-rays, along with all pertinent clinical information, will provide the tools for the restorative team to properly work up the patient.
Although a full occlusal analysis, utilizing mounted diagnostic models, is not required for every patient. It is needed for any patient who is considering advanced restorative procedures, elective cosmetic/aesthetic dentistry, or any patient with signs of instability (tooth wear, mobility, migration, tenderness to muscle palpation, or issues with the Temporomandibular Joints) in the gnathostomatic system. Items for the records appointment consist of the following: Full Series of X-rays, Panoramic, Study Models, Facebow Transfer, CR Bite, TMJ Occlusal Exam, Digital Photography, Perio Charting, Doppler Analysis, Joint Vibration Analysis, and NP Video.
Digital X-rays
Digital X-rays are computer-generated images. These images require up to 90% less radiation than conventional film-type X-rays. The sensors can instantly transmit a picture of the tooth onto the video monitor in the treatment room, allowing the dental team to see the patient’s teeth and surrounding structures immediately. Not only do digital X-rays eliminate the usual wait for X-ray film to be processed, they are also highly sensitive. The result is that patients are exposed to even less radiation with digital systems than with conventional X-rays. X-ray projections appear on computer monitors within a few seconds, allowing both patient and dental professional to simultaneously view the results. Computerized photo editing allows enlargement, highlighting, magnifying, inverting, clear viewing, and contrast of X-ray photos.
Digital Photography and Patient Video
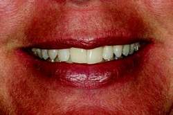
Digital Photography allow the dentist to show the laboratory technician the position of the teeth relative to the patient’s face. Digital Photographs in our practice are just as important as digital radiographs. In most instances, the laboratory isn’t so fortunate as to have direct contact with the patient. The more information that you can provide the laboratory, the better they can perform for you. We not only want them to see where the patient started, but also where they are in the provisionals. We send all the pre-operative (Figure 2), prep, and provisional photographs on a disc along with the speech video to the laboratory. We videotape the patient and ask them what they like and dislike about their smile.

We determine what they would change if they could and what they think the laboratory technician needs to know about them. We ask them to speak, recite numbers and vowels, allowing us and the laboratory to see the incisal edge position, lip support, and lip-closure path.
Study Models
The most important step in creating an accurate impression is to choose a tray (Figure 3) that best fits the patient’s arch form. Until recently, alginate had been the only viable option due to its low cost and quick set for preliminary impressions. However, the downside to alginate is that it must be poured immediately to avoid distortion and has relatively low tear strength. These drawbacks eliminate the option of repouring a second time on the same impression.

Fortunately, today there is an alternative to alginate—just use Polyvinyl Impressions. This product eliminates hand mixing and the associated mess and cleanup. Polyvinyl’s dimensional stability of up to 6 weeks (instead of a few minutes as with alginate) and can be poured multiple times. We simply use the heavy body in a tray and place it in the patient’s mouth, allow it to set, then remove it and re-line it with light body. We then place it back in the mouth, creating a perfect impression every time.
TMJ Occlusal Exam
Dr. Pete Dawson says, “The most critical part of the TMJ analysis is to determine if the joints can accept firm loading with no sign of tension or tenderness,” Bilateral manipulation is a logical way to load test the TMJs. If centric relation or adapted centric posture can be confirmed, occlusal analysis and treatment planning can proceed.

Computerized Bite Analysis
One of the most amazing technologies existing today is the Tek Scan system. It is a hardware/software-based product that allows us to evaluate the force and timing of your tooth contacts.
Computerized TMJ Analysis
Bio-JVA (Joint Vibration Analysis) is based on simple principles of motion and friction: When smooth surfaces rub together, little friction is created...and little vibration. If these surfaces become rough, then friction and vibration are created when the surfaces articulate. Bio-JVA provides a fast, noninvasive, repeatable measurement to aid in the diagnosis of TMJ function. Understanding TMJ function is vital when changing the vertical, lateral, or A/P position of the mandible. Common treatments that change mandibular function and alignment, such as TMD treatment, orthodontics, prosthodontics, reconstruction, and sleep dentistry, can benefit from JVA testing. Human joints have surfaces that rub together in function. Smooth, well-lubricated surfaces in a proper biomechanical relationship produce little friction and little vibration; but surface changes, such as those caused by degeneration, tears, or displacements of the disk, generally produce increased friction and vibration. Different disorders can produce different vibration patterns or “signatures.” PC-assisted vibration analysis identifies these patterns and helps us distinguish among various TM disorders.
Centric Bite Record
Although several methods exist to record centric relation. Bimanual manipulation, described by Dawson, is an excellent way to find, verify, and record CR. Taking the time to learn this technique will add tremendous predictability in the diagnosis and treatment of occlusally driven restorative care.

Facebow Transfer and Mounting Models
Facebow Transfer is important when restoring anterior, posterior and removable prosthetics. The facebow record provides critical information for your laboratory, and will help you obtain predictable results (Figure 6). In most cases, mounting of the maxillary cast can be delegated to the dental assistant, resulting in neither loss of accuracy nor time without facebow transfer capability in the dental office. The dental assistant can attach an articulator index to the Denar articulator (Figure 7), and mount the maxillary cast using only the bitefork assembly from the dental office. Each articulator index positions the bitefork assembly on any Denar articulator so that the relationship with the condyles recorded on the patients is accurately reproduced on the articulator.

After the Facebow transfer is taken and the impressions are poured, the study cast is mounted on a Simi-adjustable articulator (Figure 8). Mounting the cast in centric relation allows us to see the teeth that may be preventing the condyles from seating in the most stable position. It is common practice in some offices that the diagnostic mock-up is done prior to mounting the study casts, leading to a tremendous amount of extra work in the mouth. All mock-ups should be done on an articulator.

The Wax Up
After the diagnostic casts are mounted, we duplicate a second set of models for a diagnostic wax-up. Using the digital photographs and mounted cast, the functional and aesthetic requirements visualized by the restorative team are then transferred to the diagnostic wax-up. We have the patient bring in a photograph of a smile they find appealing from a magazine (or possibly a picture of their smile from a high school or college photograph). This allows the laboratory technician to visualize the patient’s expectations. Some offices may choose to have the laboratory prepare and wax up the case to an ideal aesthetic and functional result. If you are asking the laboratory to do your mock-up, they need to understand that the provisional restorations are doctor and patient approved. It should be noted that the diagnostic wax-up is our best estimate of the final outcome. The aesthetic mock-up will be used as matrices for preparation guides and provisional fabrications. Therefore, we always have to contour the provisional restorations in the mouth for optimal functional and aesthetic success.

Reduction Guides and Matrices
Reduction guides are made to aid in the reduction of the anterior teeth. A matrix is made from putty for both the Reduction and Palatal Matrices. The Reduction Matrix Guide is cut into three planes of reduction. Many veneers are under-reduced in the embrasure areas, leading to bulky and square final restorations.
Shade Guides
There are a variety of shade guides available. The most common conventional shade guides for ceramics are Vita Lumin, Vita 3D, and the Chromoscope. The Vita 3D shade guide and the Chromoscope guide have bleach shades available. Today we see more patients going through the bleaching process, thus even their natural teeth are lighter and brighter in color. In today’s dental world there is a higher demand for elective cosmetic treatment, creating the need for such bleach shade guides as the Chromoscope Bleach Guide (Figure 9).

Provisionals
When communicating with the patient regarding the shade of their final restorations, it is preferable to fabricate the provisionals close to the shade the patient has selected. If the patient is indecisive, always err to the lighter side for the provisional. Patient perception of darker colors is more acute than their perception of lighter colors. Today there are many provisional materials that mimic the shade of the restorative material. If the patient is not ready to make a final decision about the shade, tell them to carefully consider their options, then call them in 2 to 3 days. Initially the patient may feel that the provisionals are too light. Explain to the patient that there is a disconnect between the human eye and brain, which makes it difficult to effectively visualize one’s own face with a lighter shade of teeth. Keep in mind that it is better not to decide for the patient.
Phonetics plays a major role in incisal edge position. F’s and S’s dictate the length of the anterior teeth. The provisional study model is probably the most vital component of the process and provides incisal edge position, anterior guidance, shape, form and helps to recheck mounted cast.
The Laboratory Prescription
When writing the laboratory prescription, start with identifying the patient’s name, age, sex, and the tooth numbers to be restored. Prescribing the specific type of restoration is also important.
Crown, Bridge, Veneer, Inlay/Onlay, Maryland Bridge, Partial, and Denture should be precisely dictated as such:
Venus Porcelain restorations 4*13
Mount model of temps with facebow and enclosed bite registration
Mount lower die model with record marked upper temps/lower temps
Mount upper die model with record marked upper preps/lower preps
Fabricate labial matrix and custom guide table
See pre-op, prep, and provisional photos
Shade AB1, with mild incisial translucency
Some laboratories may want to have a general profile of your office to know what preferences the doctor’s desires. If your doctor isn’t sure what material to use, request a call from the laboratory so that the technician and the Doctor can discuss which material will be the best for the patient. Make sure you schedule enough time for the laboratory to fabricate high-quality restorations. This may vary from laboratory to laboratory.

Conclusion
The first link in the communication chain between the restorative dental team and the dental lab is to have an understanding of the direction and ultimate goal of the treatment plan. Dr. Pete Dawson says, “Every diagnostic or treatment decision should be made on the basis of understanding the reasons for the problem.” Before the dentist can provide a comprehensive treatment plan, the patient must first go through an extensive record visit. Gathering patient information and understanding any signs of instability are vitally important steps in this process. The patient should take part in the examination so that each problem or concern is identified and understood.
Shannon Pace, a DA II and a 1994 graduate of the Dental Assisting Program at Bowman Gray School of Medicine, works with Dr. John Cranham in his private practice in Chesapeake, VA. She has been a dental assistant for over 20 years. Shannon is the past president of the Metrolina Dental Assistants Society in Charlotte. She is also on the advisory board for the dental assistant program at Central Piedmont Community College. Shannon is the past Co-Editor-in-Chief for REALITYTEAM 'aRTie’ and Contemporary Dental Assisting with 2 columns (Clinical Techniques and from the other side of the chair). She has a column in Dental Products Report called Setting the Pace. She is on faculty at the Dawson Center where her hands on programs are held. She is member of the AACD and serves on the new members committee and on the Editorial Board for The Journal of Cosmetic Dentistry. Shannon is an evaluator and advisor for many dental manufacturers. For information on Dental Assistant Programs, please contact her at 757-286-6264. Email Shannon at: shannonlpace@aol.com