- Home
- Content Library
- Less is More
Less is More
Although dentistry, in general, has been slow to adapt and endorse all of the benefits and capabilities of digital dentistry, with more and more options becoming available, the horizon and hopefully acceptance has now broadened.

Today’s CAD/CAM systems–both chairside and laboratory based–are being used to design and manufacture metal, alumina, and zirconia frameworks, as well as all-ceramic and composite full-contour crowns, inlays, onlays and veneers that may be stronger, fit better, and are more aesthetic than restorations fabricated using traditional methods.
The accuracy of these types of technologies also allows us to provide cosmetic and restorative options that are minimally invasive. There are more than 20 different CAD/CAM systems that have now been introduced as partial (framework, models) solutions for restorative dentistry. However, still only two promise to offer these options as well as complete chairside solutions for better dentistry. While many of us may have appreciated the evolution of each generation toward the desire of a “more perfect” and whiter smile, the pursuit of perfection is not always the reason to undergo a restorative dental procedure.

Patients that have experienced oral trauma or need only minor cosmetic improvement can greatly benefit from this new approach and the capabilities of new technology. A conservative approach to restorative dentistry allows us to increase patient satisfaction and in some instances complete “minimal or no-prep” restorations without the need of local anesthetic or invasive procedures to hard or soft tissue, making the procedure quicker and less uncomfortable. CAD/CAM technology offers an option for cosmetic dentistry patients seeking an alternative to traditional dental veneers when direct composite bonding is not an option.

Case Studies:
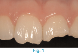
A 22-year-old female with traumatic injury to the maxillary central incisors and left lateral was presented. The original tooth fragments were not available. After the gross initial examination the teeth in question were examined in detail, the teeth were found to be vital with no pulpal exposure. There was absolutely no discernable mobility and the patient was not experiencing any distress or pain. In all other aspects the teeth did not show any other pathology. After detailed clinical observation and further evaluation of the photographs, it was noticed that there were areas of minimal tooth structure, which had been crushed at places along the fracture line and the break was not a clear cut. (Fig. 1)

Hence, a decision was made to incorporate a small chamfer at the fracture line so that it could be masked more effectively with an indirect bonding procedure, which would also help in blending the ceramic restoration fragment seamlessly with the tooth. An intraoral digital impression (scan) was taken using the E4D® Dentist System. The digital model was used to design the restorations that would later be milled from ceramic blocks. (Fig. 2)

During the try-in procedure, it was obvious that the restoration would blend seamlessly with the remaining tooth structure. After glazing, the restorations were prepared with a hydrofluoric acid silanating agent (Monobond-S) and then were bonded using Variolink Veneer resin cement (Ivoclar Vivadent). (Fig. 3a, 3b)
Case 2
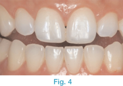
A 21-year-old male was presented requesting veneers to improve his smile. After further examination it was discovered that the only aspect that he wanted to improve was the length of his maxillary laterals. The teeth did not present any type of pathology. Both laterals were slightly in linguoversion and no undercuts were found in the facial aspect. (Fig. 4)

The diagnostic findings directed us to conclude that no-prep veneers would be the ideal treatment choice. Recontouring of the gingival architecture was performed using a diode laser (Odyssey Navigator, Ivoclar Vivadent). An intraoral digital impression was taken using the E4D Dentist System. Because no powder was used, there was no hesitancy scanning the intraoral condition immediately following the laser surgical procedure and wound. The digital model was used to design the restorations that would later be milled from ceramic blocks. (Fig. 5a, 5b)

Because of the precision of the mill, the restorations could be designed ideally to a minimal thickness in areas of less than 200 microns. The restorations were bonded without the need of anesthetic, since no tooth structure was removed. (Fig. 6a, 6b & 6c)

While the most obvious benefit for those considering chairside CAD/CAM dentistry is to replace the conventional methods and materials for the restoration of single-unit posterior teeth, the ability to maximize the performance of the system, the capabilities of the technology, and the opportunity to provide better dentistry for the patient, all endorse the profession’s expanding embrace for chairside CAD/CAM options. These cases illustrate how CAD/CAM dentistry represents a completely new way to diagnose, treatment plan, and create functional aesthetic restorations for our patients in a more productive and efficient manner.


Dr. Lida Swann is clinical instructor at E4D University and Assistant Professor at the Advanced Technology Clinic, Baylor College of Dentistry.