- Home
- Content Library
- Lasers, it’s time to start lighting it up and learning
Lasers, it’s time to start lighting it up and learning
By Dr. Michael Koceja

You have heard all about lasers in dentistry—all the different applications in your everyday delivery of dental care and the ways they can make your practice grow and grow.
Your patients like the idea of laser dentistry, and you want to modernize your office. All of this sounds great, but you are still a little hesitant. So, “What Now” laser companies are springing up faster than tulips in April in Wisconsin. You have to have lived there to know what I mean.
Every laser company is promising you the world and telling you their product is the best, the latest, the greatest. A whole new generation of dental speakers want you to attend their courses…to learn how to use lasers from them…to grow your practice…to make millions. We have all heard it all before.
So let’s all take a deep breath and float back down to reality and let a guy (I’m just a dentist.) give you a little down to earth advice on the laser revolution.
Let’s talk a little about how lasers work, what they are really good for, and how to utilize them to their fullest potential. We will also touch on what type of training is needed to make a laser work in the “real world” we face every day as dental professionals. So many lasers, so many different wavelengths, disposable tips, cleavable fibers…which laser is really the one that you need? Do you really need a laser?
Choose a trusted partner in purchasing technology.
I had the opportunity to attend a lecture by one of the most knowledgeable laser specialists in the US, Donald Coluzzi, at the ADA meeting. The first question that came from the audience was—which laser should I buy? Dr. Coluzzi had the best answer I have ever heard—buy the laser that you will use. Simple, yet so true—no technology is worth a dime if it sits in the corner. Decide what you want to use a laser for and then buy a laser from a trusted source, a person or company you deal with on a regular basis. We have all purchased equipment from a company or salesperson that went away after the sale. It’s no different with numerous companies popping up to sell lasers. Choose a trusted partner in purchasing technology.

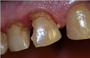
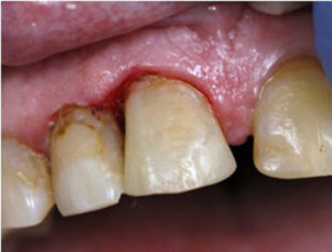
What are you going to use your laser for? As many applications as possible—the more you use new technology, the more it becomes indispensable. A great everyday use is in restorative procedures (Figures 1 & 2). Trying to restore teeth with subgingival decay can become a nightmare. The laser can expose the subgingival decay, control hemostasis, and can be used to also contour tissues to blend with the adjacent teeth. How long should this procedure take? It should take a minute or two—max.
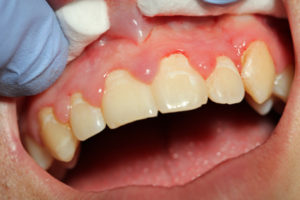
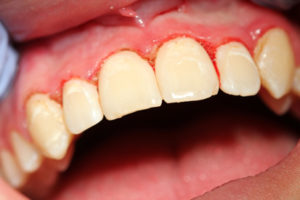
Another great everyday use is gingival recontouring to create an even esthetic gingival contour in the maxillary anterior region (Figures 3 & 4). Both these cases were basically soft-tissue procedures. The first case required a soft- tissue diode laser (Precise 810 nm, CAO company). The second case required an all-tissue laser because once the soft tissue was recontoured the attachment level and osseous level had to be modified. So remember to think-out your procedure prior to carrying it out clinically. This determination of what each type of laser can accomplish will play an important part in the decision you make.

Will you need a soft-tissue laser or an all-tissue laser? This brings up the concept of hard-tissue cutting. Can lasers cut tooth as fast as a high-speed handpiece? To me, this is an unimportant comparison. It’s not how fast you can accomplish a procedure—it’s the end result. Isn’t this the whole concept of incorporating technology into our offices? Lasers can cut hard tissue and they can cut efficiently. I have done hundreds of cavity preparations with lasers and time isn’t a factor. Let’s get back to the concept of utilizing lasers. It boils down to getting a better result with an efficient instrument. Lasers come in different wavelengths. Diode lasers are available in 810 nm, 940 nm, 980 nm, and 1060 nm wavelengths. Which is best? Again, I quote Dr. Coluzzi, “The best laser is the one you use.” Hard-tissue lasers come in 2780 nm and 2940 nm wavelengths. There are differences such as ease of use, touch screens, simplicity in understanding the technology into your practice. After 4 years of college, 4 years of Dental School, a residency program, and a postgraduate fellowship,
I still live by the—keep it simple rule. Lasers should be easy to use and training is important. Does the company you purchased your laser from offer training, DVD, online, live training, and support? Can you contact laser users to answer your questions? These are important aspects of learning lasers. You should be open to continuing to learn. Remember if you don’t get the result you expect when utilizing your laser, don’t blame the laser—it’s usually the operator. You would not use your high speed without water—so if you’re learning to use a laser and it’s not accomplishing the result you want, think of how to change your approach to get that result.

Take the time to learn to use your laser and you will get predictable results. Most lasers that are sitting in the back corner of the operatory not being used, are there because the doctor did not take the time to learn the technology. So training is paramount. What does training entail? How long does it take? What is the best type of training? That depends on you. Do you like to attend training with other dentists, prefer online training, or like in-office training with your staff?
I believe training should be simple and should concentrate on how the laser you purchased interacts with the tissue you want to change. Setting sheets are a great starting point (every laser company will give you one) but concentrate on the laser-tissue interaction. Then make adjustments to the settings to get the result you want. Remember, new concepts are sometimes difficult for a dentist who has practiced for 10, 20, or 30 years. Give yourself a little extra time to learn. Numerous times when training a new laser user, I hear that it takes longer than a high speed or scalpel. My response is usually to inquire how long they have been using a laser. If their response is… “This is my first time,” I encourage them to try a few more times. After a few more tries, the concept comes together and the procedure is done. I then look at the doctor and say, “Wow after only 5 minutes of training, look what you were able to do.” The results suddenly seem so much easier and better.
Spend a little time researching new technology and jump in. Lasers are here to stay, the cost is very reasonable and you will provide better care for your patients. Contact your dental supplier and discuss the advantages and disadvantages, cost, and abilities of the lasers on the market. Spend a little time learning to use your laser and most of all—have a little fun with technology. I bet you really will enjoy the benefits of laser technology. What are you waiting for?