Henry Schein Dental Equipment
Get QuoteRequest My Quote

Laser Technology 101

Technology continues to change how we practice, and although many of the basic concepts dentists have learned while in dental school are still relevant, the dental office of today is unrecognizable from 25 years ago. Composites were in their infancy, gold was still being pounded into teeth, curing lights, lasers, and implants were almost unheard of. Radiographs were taken and developed by traveling through a machine full of developer and fixer. No one would deny that dentistry has changed dramatically and technology has made patient care easier, faster, and more predictable.

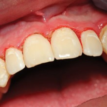
Post Ortho Gingival Hyperplasia, if left untreated, can lead to decalcification, caries, and esthetic concerns.

One technology that has become integral to the modern dental office is laser technology, especially soft tissue lasers or diode laser technology. Most dentists wish to incorporate soft-tissue lasers into their practices. We know that lasers are kinder and more technologically advanced than other methods of cutting or contouring tissue, but purchasing the right laser that has all the capabilities needed and learning to use the instrument are realistic concerns. Dentists love technology, but they fear change. Dental school did a great job teaching us how to create a level of comfort during patient care; however, it is sometimes difficult to change old habits—no matter how innovative the technology is. Because of the popularity of soft-tissue lasers, you have numerous companies selling and promoting their laser as the best. How do you decide which one to get? What about price? How does a doctor new to technology decide which laser to choose? It is almost like going to an electronics store showing row upon row of TVs—all with different sizes, prices, and features. Many times we walk away more confused than when we started our search.

So although many companies have introduced soft-tissue lasers, it is a challenge to determine which products are innovative, simple to use, and a fair value. We’re not talking about reinventing the wheel; we are talking about a soft-tissue laser. We want something that delivers power, is simple to use, and won’t break the bank.

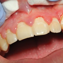
Immediate post-laser treatment: Exposure of clinical crowns will allow proper oral hygiene and prevent further decalcification.

I believe that laser is the Precise LTM. The Precise LTM is made by the CAO group in Salt Lake City, Utah (That’s a good start; it’s made in America!). It combines 5 watts of power in a reliable, easy-to-use laser that is cost effective. So before we go over the attributes of the Precise LTM, let’s spend a minute discussing why someone should incorporate a soft-tissue laser into the practice.

First time users should look at the areas of the practice that could benefit from a soft-tissue laser. The most common procedures that come to mind are:

  • crown & bridge impressions

  • class V and subgingival restorations

  • cosmetic and gingival recontouring

There are numerous other procedures that can be done with a soft-tissue laser. I am a true believer that lasers can be used on almost every patient, but for the first-time laser user, I think you should concentrate on the everyday benefits of a laser. Soft-tissue lasers are crucial for tissue shaping and troughing prior to taking impressions. You will get better impressions. Utilizing soft-tissue lasers for exposing subgingival decay or class V lesions is another reason to incorporate a laser. How many times, when placing restorations, does tissue or heme get in the way of creating a sealed, smooth gingival margin? Soft-tissue lasers will recontour tissue to expose decay and stop bleeding, allowing proper placement of restorative materials. Then there is gingival recontouring. Whether it is an uneven #8 and #9 or hyperplasia from ortho treatment, soft-tissue laser is a great tool to have.

There are numerous other uses for a laser—from periodontal applications to soft-tissue surgery to pulpotomies, but remember—the more you utilize a laser the more it will become an integral part of your office. So what should you look for in a soft-tissue laser—and why is the Precise LTM a great laser to help change the way you practice? Different lasers have different features, and I believe this laser has what you need without overloading you with excess useless features.

The Precise LTM is a powerful laser (5 watts) that has all the features you will need to easily incorporate laser technology into your office, but most of all, the precise laser is a concept. The concept is to change the way you approach laser technology—the Precise is a “soft-tissue handpiece.” It is meant to be an instrument, just like a high-speed, slow-speed, or cavitron that the doctor incorporates and can easily reach for, feels comfortable with, and uses multiple times a day. This is accomplished by creating a laser that is well made, easy to use, and cost effective. The characteristics of the Precise that make this possible are 5 watts of power for maximum cutting and higher pulsed power. Because it is an 810-nm wavelength laser, the Precise delivers predictable cutting ability and hemostasis. The laser’s fiber system is easy to use and cost effective. The fiber comes in 21-ft. long, easily-replaceable cartridges—almost double in length compared to most other diode lasers with fibers, which avoids costly disposable tips. The Precise has an easy-to-use wireless foot pedal, a two-year warranty, 4 presets (probably more than you need), and a training course. This laser has been developed for daily use. It’s reliability is unmatched and it is backed by a name you trust in dentistry—Henry Schein.

Another useful feature of the Precise LTM is its fiber storage system. It allows you to extend or retract the fiber, which keeps it in place and helps prevent accidental damage. You won’t have to wind or unwind the fiber every time you use it like you do with most diode laser systems. Another innovative feature is a magnetic handpiece holder. This keeps the handpiece easily accessible and ready to use. So if you are looking to purchase your first laser or thinking of adding another laser system to your office, the Precise LTM is a great choice– Here are the basic tenets of laser use:

  1. Slow down when using your laser. The slower you move, the faster the laser cuts.

  2. Use your laser for a variety of procedures. Be innovative in your thinking. Lasers can really benefit you in those difficult situations that arise everyday while practicing dentistry.

  3. The monetary benefits in utilizing lasers are multi-fold. You can add new or different procedures and bill for these procedures—and lasers will save you time and help to get better results (better impressions, better cosmetic results, and easier restoration placement) thereby increasing your ability to treat more patients.

  4. Choose technology that is reliable and backed by a company that will be around in the future, a company that partners with you to provide the highest level of care and helps to grow your practice.

Technology will continue to change the way we practice dentistry. Sometimes a product is available that makes a huge difference for the practice and the patient. The Precise LTM has been designed with features we can use every day and the ability to take our treatment options to a new level. Perfect!


This article was originally published in Sidekick Magazine.